Dentiste à Roquefort les Pins - Cabinet dentaire DENTSROQ des Drs
Pierre RUCHIER-BERQUET et Imen OUALI
Esthétique et implantologie à Roquefort les pins
Dentiste à Roquefort les Pins - Cabinet dentaire DENTSROQ des Drs
Pierre RUCHIER-BERQUET et Imen OUALI

Pôle santé 4061 RD2085 06330 Roquefort les Pins

+33 4 93 42 44 75

dentsroq@orange.fr
 

Esthétique et implantologie à Roquefort les pins

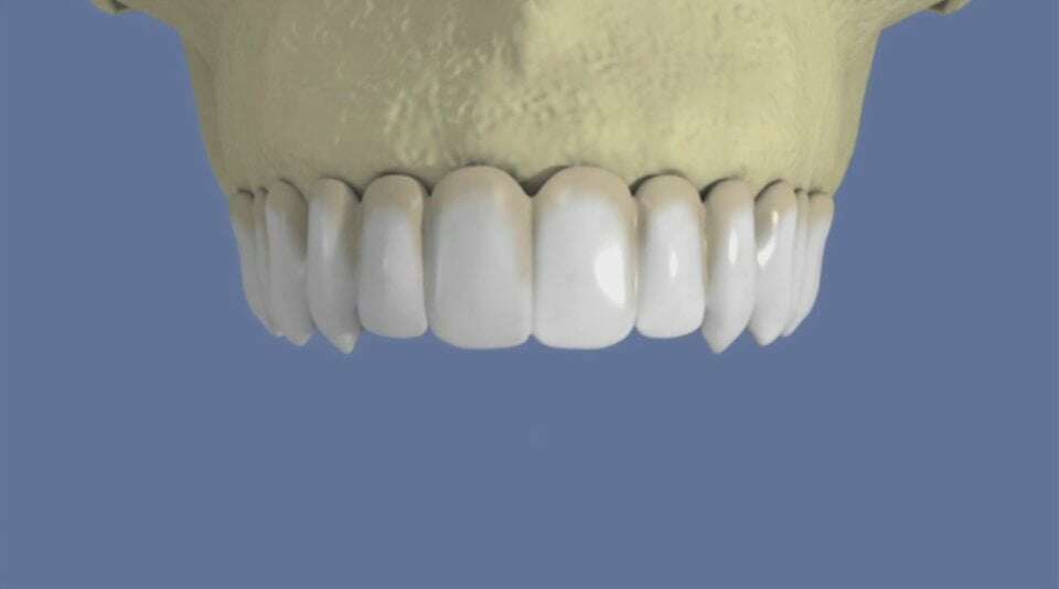
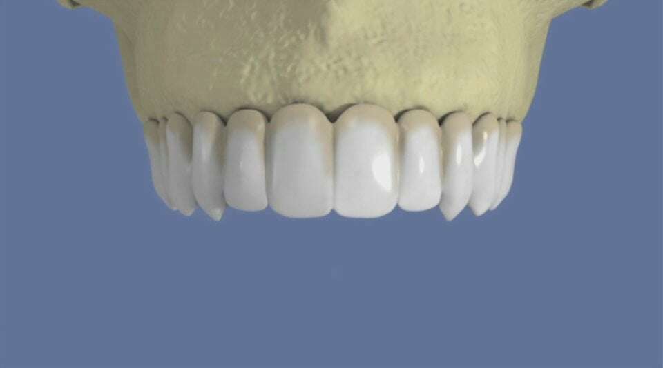
Maxillaire : bridge vissé sans fausse gencive


video-play-icon

Création par Webdentiste

Connexion