Dentiste à Roquefort les Pins - Cabinet dentaire DENTSROQ des Drs
Pierre RUCHIER-BERQUET et Imen OUALI
Esthétique et implantologie à Roquefort les pins
Dentiste à Roquefort les Pins - Cabinet dentaire DENTSROQ des Drs
Pierre RUCHIER-BERQUET et Imen OUALI

Pôle santé 4061 RD2085 06330 Roquefort les Pins

+33 4 93 42 44 75

dentsroq@orange.fr
 

Esthétique et implantologie à Roquefort les pins

Cas cliniques

Cas clinique 1: fracture d'une incisive centrale supérieur droite

Un jeune homme se présente à la consultation pour une fracture de son incisive centrale supérieure droite suite à un choc. Après examen clinique et radiologique, un rendez-vous spécifique est pris, la dent est restaurée sous champ opératoire grâce à une stratification composite en une séance.

Cas clinique 2 : reconstruction céramique

La dégradation trop importante des dents est compensée par des couronnes en céramique

situation initiale
reconstruction prothétique céramique

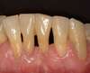
Cas clinique 3: trous noirs

1 sourire initial
13-sourire à 2 mois

Le sourire est retrouvé avec une technique conservatrice qui préserve au maximum les dents, des composites de restauration permettent de redessiner le contour et de faire disparaître les trous noirs tout en préservant la santé des gencives.

cas clinique 4: perte d'une dent

Le Bridge Cantilever

Infection sur une incisive mandibulaire, retrait et remplacement par un bridge cantilever en céramique.

INITIALE
FINALE

Création par Webdentiste

Connexion